الكاتب : النهار
التاريخ: ٢٠ يوليو-٢٠٢٤       27720

القطيف - النهار 

أجرى فريق من قسم جراحة المخ والأعصاب في  مستشفى القطيف المركزي  أحد مكونات  تجمع الشرقية الصحي  عملية نوعية لمقيمة يمنية حامل في الشهر الخامس (٣٤ سنة) وذلك باستئصال الورم بشكل كامل مع الحفاظ على الجنين بعد العملية.

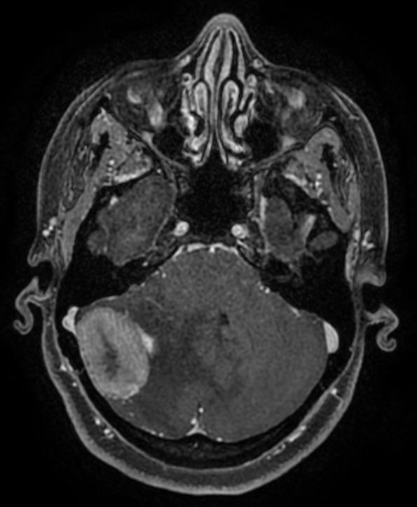
وكانت المريضة تعاني من صداع شديد لا يستجيب للعلاج الدوائي مع وجود غثيان ودوار في الرأس وبعد عمل أشعة الرنين،في مستشفى آخر، تبين وجود ورم في مؤخرة الرأس بحجم ٣x٣.٥ سم مع وجود استسقاء دماغي حاد نتيجة انسداد مجرى تصريف السائل النخاعي، وتم قبول الحالة بعد التواصل مع قسم جراحة المخ والأعصاب وعند وصول المريضة تم عمل أشعة الرنين بالصبغة في نفس اليوم بالتنسيق مع أطباء الأشعة المناوبين د.ريم الأمير و د.آيات الدرويش.

وبعد تحضير المريضة للعمليات بالتنسيق مع قسم النساء والولادة وبمناقشة الحالة مع استشاري التخدير د.محمد العيان تم وضع خطة عمل جراحي للانتهاء من العملية في وقت قياسي بقيادة الجراح الدكتور عبدالله الرمضان. 

وتم إجراء العملية في أقل من ٤ ساعات وذلك بقيادة الدكتور عبدالله حسين الرمضان رئيس القسم واستشاري جراحة المخ والأعصاب و شارك في العملية الدكتور راكان عزام و الدكتورة أسماء البراهيم أخصائيي جراحة المخ والأعصاب وفريق التخدير بقيادة الدكتور محمد العيان ومشاركة د.محمد أمير، وبمساعدة التمريض الجراحيم محمد المهنا ومحمد المزرع وعيسى النصير .

وبعد العملية خضعت المريضة للمراقبة لمدة ٣ أيام تحت إشراف قسم النساء والولادة وبعد أخذ الأدوية اللازمة خرجت من المستشفى بدون وجود أي مضاعفات أو آثار جانبية للتدخل الجراحي وتم معاينتها في العيادة الخارجية لقسم جراحة المخ والأعصاب والنساء والولادة وهي في أتم الصحة والعافية.

يذكر أن قسم جراحة المخ والأعصاب والعمود الفقري يقدم العديد من العمليات النوعية المتخصصة والتي تواكب أحدث التطورات العملية في المجال، بعد استقطاب الكفاءات المميزة والتي تعمل على تقديم أفضل رعاية ممكنة للمرضى.